모바일 메뉴

고양이동물병원 백산동물병원

[ 동물병원 전용메뉴 ]

진료의뢰 및 CT촬영 의뢰 안내

[ 고양이 학교 ]

백산 아카데미 신청접수

모든 진료는 예약제로 진행됩니다.
  • 1644-5653
  • 연중무휴 24시간
    일반 진료: AM 9:30 ~ PM 19:00
    응급 진료: PM 19:00 ~ AM 9:00
    [관리자로그인]

    전화걸기

    고양이 내과센터
    백산동물병원 전문 클리닉 소개입니다. 백산동물병원은 최상의 결과와 최고의 의료서비스를 위해 항상 연구하고 있습니다.
    고양이 비뇨기계 클리닉
      비뇨기계 클리닉 소개
    • 고양이 하부 비뇨기 질환이란 고양이의 하부 비뇨기, 즉 방광 또는 요도에 문제가 발생하여 증상이 발생하는 질환을 의미합니다. 고양이 하부 비뇨기 질환은 고양이가 병원에 내원하게되는 가장 많은 원인 중 하나일 뿐만 아니라 재발율도 높아 정확한 진단과 지속적인 관리가 중요한 질환입니다. 고양이 하부 비뇨기 질환으로 비뇨기에 폐색이 발생할 경우 소변의 흐름이 막혀 급성 신부전과 같은 응급 상황이 발생할 위험성이 높기 때문에 고양이 하부 비뇨기 질환 발생 시 나타날 수 있는 증상을 보호자가 인지하고 신속하게 병원에 내원하여 정확한 진단과 치료를 받는 것이 중요합니다.

      또한 고양이 하부 비뇨기 질환의 경우 고양이의 최근 환경 변화나 식이와 같이 고양이의 전반적인 생활 환경과 관련하여 발생하는 경우가 많기 때문에 고양이 하부 비뇨기 질환을 올바르게 관리하기 위해서는 환자마다 차별화된 치료 전략과 프로토콜이 중요합니다. 본원에서는 고양이 비뇨기 전문 클리닉을 개설하여 고양이 하부 비뇨기 질환의 원인과 위험 요소들을 체계적으로 진단하고 환자마다 차별화된 관리 프로토콜을 수립함으로써 고양이 하부 비뇨기 질환의 성공적인 관리를 위해 노력하고 있습니다.
      고양이 하부 비뇨기 질환 증상
    • 하부 비뇨기 질환으로 인한 임상증상은 다음과 같습니다. 고양이 하부 요로기 질환 (FLUTD)이란 고양이의 방광 또는 요도에서 발생한 질환으로 인해 빈뇨 (배뇨 횟수 증가), 배뇨통 (울부짖음 또는 배뇨통 자세), 부적절한 배뇨 (정상적인 배뇨 장소 이외의 배뇨), 배뇨 장애 (배뇨 시간 연장), 혈뇨 등의 증상을 보이는 경우를 의미하며, 이러한 증상들을 고양이 하부 요로기 증상이라고 합니다.
      고양이 하부 비뇨기 질환의 원인
    • 고양이 하부 요로기 질환은 검사를 통해 요도결석, 요도 플러그, 종양, 세균 감염과 같이 원인이 정확히 밝혀지는 경우도 있지만, 특별한 원인이 없이 증상만 나타나는 경우가 훨씬 더 많으며 이러한 경우를 고양이 특발성 방광염이라고 합니다
      고양이 하부 비뇨기 질환 진단 프로그램
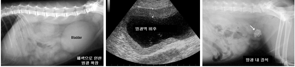
    • 본원에서는 고양이 하부 비뇨기 질환의 올바른 진단과 관리를 위해 크게 2가지 방향으로 진단검사를 실시하고 있습니다. 검사의 첫번째 목적은 비뇨기 폐색 여부 판단이며, 폐색의 증거는 다음과 같이 판단할 수 있습니다
      1. 문진 (마지막으로 소변 본 시기, 배뇨 시 자세, 배뇨 시간 연장 여부)
      2. 혈액검사 결과 신장 수치 증가 확인
      3. 방사선 검사 및 초음파 검사 상 확장된 방광 확인



      진단 검사의 두번째 목적은 고양이 하부 비뇨기 증상의 원인 확인이며, 다음과 같은 검사를 통해 판단할 수 있습니다.
      1. 방사선 검사 및 초음파 검사를 통한 비뇨기 내 결석 확인
      2. 방광 초음파 검사 결과 방광염 소견 확인
      3. 요검사 결과 염증 소견 확인
      4. 요 세균배양 검사 결과 비뇨기 세균 감염 확인
      5. 조영 검사를 통한 비뇨기의 구조적 이상 확인
      고양이 하부 비뇨기 질환 관리 프로그램
    • 고양이 하부 요로기 질환의 치료는 먼저 응급 치료와 관리 요법으로 구분할 수 있습니다. 본원에서는 하부 비뇨기 질환 고양이의 성공적인 관리를 위해 응급 치료와 관리 요법으로 구분하여 체계적인 관리를 진행하고 있습니다.

      응급치료를 필요로 하는 경우는
      하부 요로기계에 폐색이 발생한 경우로, 이러한 고양이는 폐색을 완화시켜주는 처치와 더불어 신부전에 대한 처치가 이루어집니다.

      관리요법은
      폐색이 일어나지 않은 환자나 폐색에 대한 응급 처치가 끝난 환자에서 수행하게 되며, 고양이 하부 비뇨기 질환의 경우 재발율이 높기 때문에 일회성의 치료보다는 체계적이고 지속적인 관리를 통한 임상증상 개선 및 재발율 감소를 치료의 일차적인 목표에 두고 있습니다.

      특히 고양이 하부 비뇨기 질환의 원인들의 대부분이 고양이의 스트레스 요인과 밀접한 연관이 있는 것으로 알려져 있기 때문에 고양이 하부 비뇨기 질환 관리의 핵심은 스트레스 요인을 정확히 판단하고 개선시켜주는 것입니다.
      본원에서는 고양이 개개인의 식이 습관 및 전반적인 생활 패턴을 체계적이고 과학적으로 분석하여 환자 중심의 맞춤형 관리 프로토콜을 설계하여 관리하고 있습니다.