- 고양이는 강아지나 사람의 비해 치아가 작고 전체 치아의 갯수도 적은 편입니다. 반면 사람처럼 매일 치아 관리를 해주기 어렵기 때문에 치과 진료가 중요합니다.
구강 질환의 발생하였을 때, 잇몸의 염증은 전신질환의 원인이 될 수 있어 더 중요합니다.
치통으로 치과에 가 보신적이 있으신가요? 고양이도 사람과 마찬가지로 치통이 있습니다. 아픈 것을 숨기는 고양이에 특성상 치통을 크게 표현하지 않는 경우가 많지만,그 사이 고양이의 삶의 질은 떨어질수 있습니다.

모든 동물의 치과 진료는 전신마취가 동반됩니다.
스케일링, 발치, 신경 치료 등의 치과 진료 시 안전한 마취를 위해 다른 전신질환이 있는지 먼저 확인이 필요합니다.
안전한 마취를 위해
다음의 검사들이 진행됩니다.
-
혈액검사
- 마취 전 혈액검사를 통해 적혈구와 백혈구, 신장, 간 등 고양이의 전반적인 건강상태를 파악합니다.
- 혈액검사는 치과 수술이 끝난 후에도 아이의 건강 관리를 위해 반드시 필요할 수 있습니다.
- 본원에서는 세계적인 동물 혈액검사 장비업체인 IDEXX 사의 최상위 장비로 고양이만을 위한 혈액검사를 실시하고 있습니다.
-
흉부 방사선
- 마취 시 가장 중요한 심장, 폐 등의 이상을 파악하기 위해 흉부 X-ray 검사가 필요합니다..
-
심장 초음파
- 노령묘 이거나 흉부 X-ray 검사에서 심장 질환이 의심되는 경우 심장 초음파를 진행하고 있습니다.
실제로 고양이는 평소 특별한 증상이 없더라도 비대성 심근증(HCM)이 발견 되는 경우가 꽤 많습니다.
고양이의 심장질환은 영상 전공의의 심장초음파로 더욱 정확한 진단이 가능합니다.
-
마취 전 수액처치
- 마취 전/후로 수액처치를 함으로써 마취 회복과 부작용을 최소화 합니다.
-
호흡 마취
- 치과 진료 시 치석이나 세균을 포함한 분비물로 오연성 폐렴이 생길 수 있기 때문에 마취가 중요합니다.
본원의 경우 기관 삽관 시 기관튜브에 의한 기도손상 및 흡인을 방지하기 위하여 고양이 전용 마취 튜브(V-gel)를 사용합니다.
-
통증 관리
- 치과 진료 시 통증을 최소화 하기 위해 마약성 진통제 처치를 하고 있습니다.
또한 발치나 신경치료 같은 치과 진료 시에는 국소 마취도 추가로 진행하고 있습니다.
-
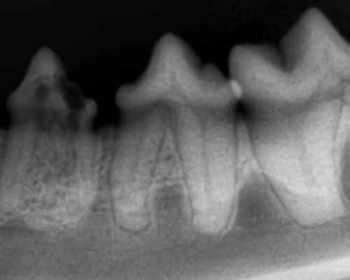
치아 방사선 촬영
- 치과 진료 시 가장 중요한 검사는 치아 방사선 촬영입니다.
우리가 눈으로 보는 치아 부위는 전체 치아의 일부이기 때문에 잔존 치아를 체크하기 위해서는 치아 방사선 검사가 반드시 진행되어야합니다.
-
모든 치과 검사및 치료는 치과 전문 수술실에서 진행됩니다.

-
미국 동물치과 전문기기 업체인 IM3 사의 최상위 장비를 사용하고 있습니다.
-
고양이 치과 진료는 단순히 수술만을 고려하는 것이 아니라, 전신적인 상태도 함께 고려가 되어야합니다.
특히 노령묘에서 치과 질환의 발병률이 더 높은 편이기 때문에 내과적인 평가가 이뤄져야 안전한 마취 및 수술 진행이 가능합니다.
-
치과 진료 이제 미루지 마세요

-
1. 부정교합
- 고양이도 강아지와 마찬가지로 주둥이가 길거나 상대적으로 주둥이가 짧은 품종이 있습니다.
- 상대적으로 주둥이가 짧은 단두종인 경우 교합이 맞지 않는 부정교합이 잘 발생합니다. 이 경우 어릴 때 적절한 검사를 해서 교합에 문제가 되는 치아를 발치하거나 치료하면 교정을 할 수 있습니다.

-
2. 과잉치아
- 고양이의 치식
- 유치: 2(I3/3 C1/1 P3/2) = 26
- 영구치: 2(I3/3 C1/1 P3/2 M1/1) = 30
- 고양이의 경우 결손치 보다 과잉치아가 더 자주 발생하는데 과잉치아의 경우 발치해 주지 않으면 해당 부위에 치석이 더 많이 끼거나 염증이 발생하는 등 다른 치아까지 손상이 생길 수 있습니다.

-
3. 치아골절
- 고양이의 경우 높은곳에서 떨어질 때 혹은 어딘가에 부딪혀서 위쪽 송곳니가 골절 되는 경우가 많습니다. 이때 신경이 노출되지 않았다면 치료가 필요하지 않지만, 신경이 노출된 상태라면 발치 또는 신경 치료가 필요합니다.
- 치수가 손상된 경우 갈수록 염증 및 통증을 심해질 수 있으므로 빠른 시일 내에 치료를 받으시는 것이 좋습니다.

-
4. 고양이 치아 흡수성 병변(Tooth Resorption)
- 원인이 정확히 밝혀지지는 않았으나 고양이에서 발생하는 치과질환 중 30%를 차지할 정도로 많으며 흔한 질환입니다. 치아 뿌리나 위쪽 부위가 점차 흡수되는 질환입니다.
- 특히 흡수가 진행될수록 통증이 심해지게 되며 삶의 질이 저하됩니다.
- 보호자가 육안으로는 관찰하기 어려운 경우가 많아 수의사의 진단이 필요합니다.
- 현재까지 치료 방법은 발치가 가장 추천됩니다.

-
5. 고양이 만성 구내염(Feline Chronic GingivoStomatitis)
- 고양이 치과 질환 중 완치가 어려운 질환 중 하나입니다.
- 원인은 현재 면역계 이상, 칼리시 바이러스, 백혈병 등 여러 원인들이 제시되고 있으나 정확한 원인은 밝혀지지 않았습니다.
- 잇몸뿐만 아니라 구강 및 목구멍까지 염증이 동반되는 경우가 많습니다.
- 내원 하는 이유 중 상당수가 식욕 부진일 정도로 통증이 큰 질환입니다.
- 치료는 약물 치료 및 발치가 추천됩니다.
- 하지만 고양이 만성구내염은 발치를 하더라도 재발이 잦은 편인데, 본원에서는 이를 위해 줄기세포 및 인터페론 치료를 병행하고 있습니다.

-
6. 구강 종양
- 고양이의 구강 종양은 악성이 많은 편이며 정확한 세포검사를 통해 레이저나 고주파 수술기구를 통한 제거가 필요합니다.
- 경우에 따라서는 구강 외과적 수술이 필요 할 수도 있습니다.