모바일 메뉴

고양이동물병원 백산동물병원

[ 동물병원 전용메뉴 ]

진료의뢰 및 CT촬영 의뢰 안내

[ 고양이 학교 ]

백산 아카데미 신청접수

모든 진료는 예약제로 진행됩니다.
  • 1644-5653
  • 연중무휴 24시간
    일반 진료: AM 9:30 ~ PM 19:00
    응급 진료: PM 19:00 ~ AM 9:00
    [관리자로그인]

    전화걸기

    진료과목 안내
    백산동물병원 진료과목 안내입니다. 백산동물병원은 최상의 결과와 최고의 의료서비스를 위해 항상 연구하고 있습니다.
    외과
        • 일반외과
        일반 외과 수술에는 소화기계, 비뇨 생식기계, 탐색적 개복술, 종양 제거술 등이 포함됩니다. 끈, 실, 바늘, 스타킹 등 고양이가 예상하지 못한 물건에 관심을 갖고 삼키는 경우가 종종 있으며, 이에 대해 개복을 하거나 내시경을 통해 이물 제거를 시도합니다. 신장/요관, 방광/요도 등에 생긴 결석은 수술적으로 제거가 필요하며, 요관 폐색에 의한 이차적인 농성 신질환 환자에 대해서는 응급 수술이 필요할 수 있습니다. 국내에서도 노령묘가 증가하면서 피부를 비롯한 복강 장기에 종양의 발생 빈도가 증가하고 있습니다. 진단과 더불어, 치료 방향을 결정하고 예후를 가늠하기 위해 종양을 제거하고 조직검사를 실시하고 있습니다.
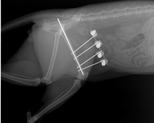
        • 정형외과
        교통사고, 낙상으로 인해 발생하는 골절 정복을 골절의 유형과 환자의 상태를 고려하여 실시하고 있습니다. 고양이에서 골절이 잘 발생하는 위치는 하악골, 요/척골, 대퇴골, 사지 지골 등이 있으며, 고양이의 경우 장기간의 입원이 필요한 골절 수술 후에도 안정적인 입원 환경을 구축하여 환자의 빠른 회복을 돕고 있습니다.
        • 다리골절
        • 골절 X-ray
        • 수술 후 X-ray