모바일 메뉴

고양이동물병원 백산동물병원

[ 동물병원 전용메뉴 ]

진료의뢰 및 CT촬영 의뢰 안내

[ 고양이 학교 ]

백산 아카데미 신청접수

모든 진료는 예약제로 진행됩니다.
  • 1644-5653
  • 연중무휴 24시간
    일반 진료: AM 9:30 ~ PM 19:00
    응급 진료: PM 19:00 ~ AM 9:00
    [관리자로그인]

    전화걸기

    고양이 외과센터

    • 고양이병원 백산동물병원
    • '외과수술 종류'
      비뇨기 외과
  • 회음부 요도루 조성술
  • 포피-요도 문합술
  • 요도 재협착 교정술
  • Subcutaneous Ureteral Bypass
  • Double-pigtail Ureteral Stent
  • 신장 결석 제거술
  • 신장 절제술
  • 방광 결석 제거술
    • 종양 외과
  • 비만세포종
  • 림포마
  • 유선종양
  • 그 외 종양 절제 일체
    • 정형 외과
  • 사지 골절 교정술
  • 천장골 탈구 교정술
  • 대퇴골두 절단술
    • 소화기 외과
  • 소장 이물 제거
  • Portosystemic shunt (PSS) 교정술
  • 거대 결장 – 결장 문합술
  • 장중첩
  • 장생검
  • 식도 협착
    • 일반 외과
  • PPDH
  • 항문낭 파열
    • 산과
  • 자궁 축농증
  • 제왕 절개
  • 안전한 마취를 위해 다음의 검사들이 진행됩니다.
      혈액검사
  • 마취 전 혈액검사를 통해 신장, 간, 탈수, 빈혈, 염증 등 고양 이의 전반적인 건강상태를 파악합니다.
  • 혈액검사는 마취 후에도 아이의 건강관리를 위해 반드시 필요한 검사입니다.
    (예: 신부전 등)
  • 백산동물병원에서는 동물 혈액검사 장비업체인 IDEXX 사의 최상위 장비로 고양이만을 위한 혈액검사를 실시하고 있습니다.
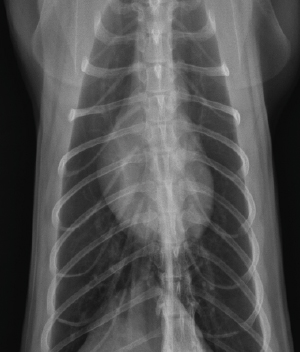
    • 흉부 방사선
  • 마취 유지 시 가장 중요한 심장, 폐 등의 이상을 파악하기 위해 흉부 방사선 검사가 필요합니다.
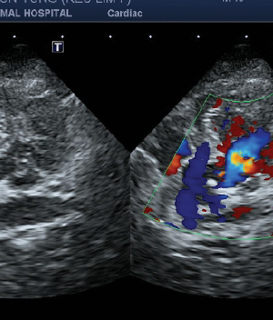
    • 심장 초음파
  • 노령묘 이거나 흉부 x-ray에서 심장질환이 의심되는 경우 심장 초음파를 진행하고 있습니다.
  • 실제로 고양이는 특별한 증상이 없더라도 비대성 심근증(HCM)이 많이 발견되는 편입니다. 고양이의 심장질환은 심장 초음파에서 정확한 진단이 가능합니다.
    • 마취 전 수액처치
  • 마취 전과 후에 수액처치를 함으로써 마취 회복과 부작용을 최소화 합니다.
    • 호흡마취
  • 안정적인 마취를 위해 호흡 마취를 합니다.
  • 수의 마취 전담팀이 현재 의료수준에서 모니터링이 가능한 모든 항목을 확인합니다.
  • 특히 백산동물병원은 마취 유도, 유지, 각성 시 차별화된 환기가 가능한 호흡 마취 기계 및 약물을 사용합니다.